根本改善を目指すなら「西院FREE整骨院」
ホーム
初めての方へ
料金・施術の流れ
お客様の声
院情報・アクセス
ご予約・お問合せ
HOME
ブログ
成長痛に悩む人は読んでください
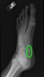
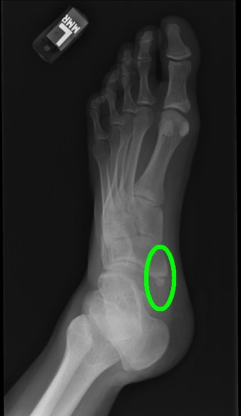
gaikeikotsu
お知らせ
2025年12月13日
2026度正社員募集に向けて
2025年10月5日
10月は創業記念日
2025年7月4日
木村代表紹介・理念
一覧
初めての方へ
料金・施術の流れ
お客様の声
医師や大学教授・専門家からの推薦文
院情報・アクセス
スタッフ紹介
Q&A
ご予約・お問合せ
求人募集
ブログ
腰痛
顎関節症
頚椎ヘルニア
四十肩・五十肩
坐骨神経痛
腰椎ヘルニア
ぎっくり腰
側弯症
反り腰
脊柱管狭窄症
テニス肘
腱鞘炎
ばね指
ガングリオン
オスグッド
こむら返り
有痛性外脛骨障害
シーバー病
足底筋膜炎
自律神経失調症
変形性膝関節症
梨状筋症候群
臼蓋形成不全
産後骨盤のお悩み
歯ぎしり
足首捻挫
肩こり
寝違え
交通事故治療
その他
継続通院が必要な理由
膝の痛みは年齢・体重関係ありません
なぜ「ぎっくり腰」「ヘルニア」はくり返すのか
ぎっくり腰の正しい対処法|やってはいけない行動と早く治すポイント
肩こりの本当の原因と正しい対処法
頚椎ヘルニアを手術なしで根治させる方法
なぜ捻挫をくり返すのか
テニス肘が治りにくい理由
成長痛(オスグッド/シーバー/ジャンパー/シンスプ/外脛骨障害)のお悩みまとめ
足底筋膜炎の完治への道
反り腰が改善しない本当の理由
なぜガングリオンができるのか
「臼蓋形成不全」改善の道
変形性膝関節症の痛みが改善しない本当の理由
自律神経失調症が改善しない本当の理由
(((ストレッチポール活用法★★★セルフケア)))
整骨院とリラクゼーションの違い
当院のコンセプト『リコンディショニング』とは?
西院FREE整骨院と他整骨院の違い
整形外科のリハビリテーションと当院との違い
西院FREE整骨院の「整体」とは?
なぜ西院FREE整骨院では「通院の卒業」ができるのか?
後遺症が回復していく流れ
他整骨院とのセルフケアの違い
当院独自のセルフケアの考え方と種類
急性の痛みやコルセットに対しての整骨院の考え方
ブログ
(7)
全てのブログ記事を見る>
西院FREE整骨院
京都市右京区西院清水町4-2 1F
交通:「西院」駅 徒歩11分
TEL:075-874-5595
営業時間: 8:30~12:00、13:30~19:30 (水・土・祝は18:00まで)
定休日:木曜・日曜
gaikeikotsu
ツイート
ツイート
成長痛に悩む人は読んでください